top of page
dentística
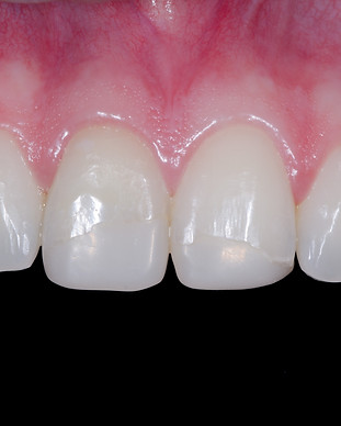
É responsável pela reconstrução do elemento dentário, buscando através de técnicas e materiais adesivos, a melhor função e estética do elemento dental, diretamente na boca do paciente, sem necessidade de moldagem, em uma única sessão.
bottom of page
.png)


